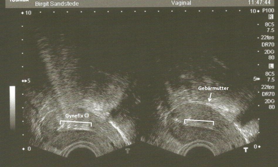
Mein erstes Ultraschallbild… es ist eine Gynefix ;-)

Seit heute bin ich nun endlich stolze Besitzerin einer Gynefix-Kupferkette (mini). Ich hatte ziemliche Angst vor dem Einsetzen - man liest ja diverse Horrorgeschichten im Internet. Und ich habe ein ziemlich dünnes Fell, wenn es um Schmerzen geht. Aber ich habe es doch tatsächlich überlebt und im Endeffekt war es gar nicht so schlimm und sehr schnell vorbei.
Da alles sehr spontan und kurzfristig geplant war, hat mich Frau Sandstede zunächst per Telefon beraten. Den Termin meiner nächsten Blutung konnte ich dank meiner Zyklusbeobachtung grob vorhersagen und wir haben einen Termin zum Legen der Gynefix für diesen Zeitraum ausgemacht, da die Kette – wie auch andere Spiralen - am besten an den ersten Tagen der Regelblutung gelegt. Da ich einen recht unregelmäßigen Zyklus habe, war eine gewisse Spontanität bei der Terminfindung nötig und es hat zum Glück alles nach Plan geklappt. Soweit, so gut…
Ich hatte mit Frau Sandstede zuvor über meine Angst vor den Schmerzen gesprochen. In Absprache habe ich dann zwei Ibuprofen 400 präventiv gegen die Schmerzen genommen und eben zusätzlich noch die empfohlene Dosis Buscopan zur Entspannung des Bauchraums. Nachdem sie meine Gebärmutter vermessen (das habe ich gar nicht mitbekommen, so schnell ging das) und den Muttermund mit einem Gel desinfiziert und leicht betäubt hatte, wurde mir die Gynefix mini eingesetzt. Das hat zweimal kurz geziept. Einmal beim Strecken der Gebärmutter und dann natürlich beim Einstich und Drehen der Nadel. Das war zwar relativ fies und ich habe mich auch kurz erschrocken, aber danach war es auch direkt vorbei. Ich konnte sogar noch eine kleine Shopping-Tour in Frankfurt machen - allerdings war ich durch die Schmerzmittel schon etwas neben der Spur. Insgesamt ging es mir ganz gut nach dem Eingriff und ich war extrem froh und euphorisch, dass ich diesen Schritt endlich gewagt hatte! Und da ist sie nun auf meinem ersten Ultraschallbild, meine Begleitung für die nächsten 5 Jahre…